Seřazení podle vláken | Seřadit podle času | Pouze vlákna | Doporučené
Dnešní nálezy, 19.03.2016 19:35, alesjirsa(m), (Houby)
Phaeobotryosphaeria visci, dnes hojně nalézaná houba rostoucí na jmelí bílém.
Re: Dnešní nálezy, 19.03.2016 19:35, alesjirsa(m), (Houby)
Re: Dnešní nálezy, 19.03.2016 19:35, alesjirsa(m), (Houby)
Asi mám další lokalitu na jehnědky jívové (Ciboria caucus). Bohužel, aby to nebylo tak jednoduché, na místě byla ještě bříza a poblíž nechyběla ani olše (líska zde ovšem nebyla). Zkoušel jsem mikroskopovat a mikroskopické znaky se docela dobře shodují se znaky minulé jehnědky jívové, takže spíš víc věřím jí, ale určitě si to netroufám s jistotou tvrdit.
Re: Dnešní nálezy, 19.03.2016 19:35, alesjirsa(m), (Houby)
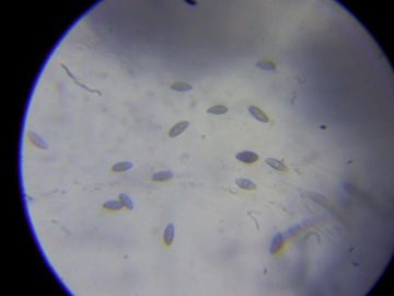
Teď nějaký neurčený pyrenomycet. Neví prosím někdo aspoň rod (kdyby i druh, bylo by to úžasné
) ?
Re: Dnešní nálezy, 19.03.2016 19:35, alesjirsa(m), (Houby)
Číšovec nahloučený (Cyphellopsis cf. anomala), dost běžná houba (aspoň já ji nacházím celkem často), ale patrně přehlížená.
Re: Dnešní nálezy, 19.03.2016 19:35, alesjirsa(m), (Houby)
A zakončím pohledem na výtrusy toho neurčeného pyrenomycetu:
Výtrusy elipsoidní až vřetenovité, tmavé, s jednou nebo dvěma tukovými kapkami, 15 x 6-7,5 µm; vřecka oktasporická, zase tolik jsem se tím měřením nezabýval, změřil jsem jedno: 100 x 9 µm.

Re: Re: Re: Dnešní nálezy, 19.03.2016 21:20, Patrik(m), (Houby)
Tohle je zajímavé, ale s tímhle ti neporadím. Já se spíše specializuju na Pleosporales, a ty mají všecky septované askospory. Tohle žádné septa nemá, takže bych hledal někde mezi Sordariales, popř. jinde v Sordariomycetes.
PS: Kdyby tě náhodou tyto drobné černé potvůrky začali nějak zajímat, mohl by si mě pomoct s mapováním diverzity rodu Leptosphaeria v ČR. Do Čech se moc nedostanu, takže by se tím mohl rozšířit okruh území. 
Re: Re: Re: Re: Dnešní nálezy, 19.03.2016 21:47, alesjirsa(m), (Houby)
No, já jsem nějakou dobu tyto pyrenomycety spíš přehlížel, přitom jsou to houby jako každé jiné, takže se jim snažím trochu věnovat pozornost, ale z rodu Leptosphaeria znám jenom drobničku ostrou. Ale pokud by ti na tom záleželo, tak bych občas mohl koukat po nějakých starých lodyhách a mikroskopovat tyto malé houbičky. Septy jsou u výtrusů docela zajímavé.

Re: Re: Re: Dnešní nálezy, 19.03.2016 21:40, alesjirsa(m), (Houby)
Tak je to dřevo listnáče (možná olše, ale byly tam i jiné listnáče, takže to nedokážu potvrdit).