Seřazení podle vláken | Seřadit podle času | Pouze vlákna | Doporučené
S Honzíkem a s bassetem ... 2.část, 15.03.2016 17:29, alesjirsa(m), (O přírodě)
Čepičatka hlízonohá (Meottomyces dissimulans); Červený seznam ČR: DD (druh s nedostatečně známým rozšířením).


Re: Re: S Honzíkem a s bassetem ... 2.část, 16.03.2016 07:51, Hanýžka(m), (O přírodě)
Opravdu roste jako nikdy, ale chtělo by to ji podchytit exsikáty. Případně ověřit určení mikroskopicky. Hlásím se dobrovolně, houba má krásné mikroznaky.
Re: S Honzíkem a s bassetem ... 2.část, 15.03.2016 17:29, alesjirsa(m), (O přírodě)
Re: S Honzíkem a s bassetem ... 2.část, 15.03.2016 17:29, alesjirsa(m), (O přírodě)
A teď tři pyrenomycety:
Bradavkatka žlutozelená (Eutypa flavovirens), houba význačná žlutozelenou "dužninou" (Opravte mě prosím a nahoďte příhodnější výraz).

Re: Re: S Honzíkem a s bassetem ... 2.část, 15.03.2016 19:45, Patrik(m), (O přírodě)
Nevím, zda se vnitřní část stromatu nějak specificky nazývá, ale dužnina je u plodnic. Můžeš prosím specifikovat, jaké biotopy jste prozkoumávali, popř. s fotkou? Jen pro inspiraci, pokud opadne do soboty sníh, chtěl bych někde také zajít, ale nevím kde, abych měl nějakou úspěšnost v nálezech, jako jste měli vy. 
Re: Re: Re: S Honzíkem a s bassetem ... 2.část, 15.03.2016 19:54, alesjirsa(m), (O přírodě)
Já se omlouvám, ale bohužel jsem nedával moc pozor na stromy, které tam rostly. Samozřejmě to byl listnatý les poblíž potoka, nedaleko byly ještě jedle a jiné jehličnany (ale ty s tímto nálezem nemají nic společného, pokud se nemýlím).

Re: S Honzíkem a s bassetem ... 2.část, 15.03.2016 17:29, alesjirsa(m), (O přírodě)
Re: S Honzíkem a s bassetem ... 2.část, 15.03.2016 17:29, alesjirsa(m), (O přírodě)
A jako poslední dřevomor souvislý (Annulohypoxylon cohaerens).
Kromě kalichovky zvonečkové jsem všechno, co jsem tu teď uvedl, viděl poprvé.

Re: Re: Re: S Honzíkem a s bassetem ... 2.část, 15.03.2016 19:50, alesjirsa(m), (O přírodě)
OK. Výtrusy elipsoidní, tmavé, naměřil jsem 9-10 x 3-4 µm. Stačí to ? Při nehorším mohu zmikroskopovat opětovně.

Re: Re: Re: Re: S Honzíkem a s bassetem ... 2.část, 15.03.2016 20:05, Patrik(m), (O přírodě)
Tady ano
...jo a ještě něco:
1. u vřeckovýtrusných hub (tedy u některých rodů) je k určení také nutné kromě výtrusů řešit i rozměry a typ vřecka + někde i počet askospor ve vřecku a jestli jsou mono, bi nebo triseriální.
Je dobré to tedy dělat automaticky, pokud to zrovna není nějaká skupina, u které víš, že to není nutné, já to tak dělám hned, než abych se pak tloukl do hlavy, že to neurčím, jelikož mě tento údaj chybí a měl jsem jenom jednu plodnici
...všímám si totiž, že řešíš hlavně ty askospory.
2. již si delší dobu šetřím na mikroskop, abych nemusel pořád "otravovat" na VŠB (tedy, alespoň já si tak vždycky připadám, že otravuju) a chtěl bych něco s imerzním objektivem, něco, co by se na houby hodilo, tak bych se chtěl zeptat tebe i ostatních, co mikroskopují, jestli by něco neporadili. Moc se v tom nevyznám a nechci koupit něco, co bych za pár let zase měnil.

Re: Re: Re: Re: Re: S Honzíkem a s bassetem ... 2.část, 15.03.2016 20:17, alesjirsa(m), (O přírodě)
Díky za schválení. 
1. Máš pravdu, měl bych se na to také zaměřovat. Myslím si dobře, že to mono-, bi- nebo triseriální, jak píšeš, znamená, v kolika řadách jsou ty výtrusy ve vřecku ?
2. V mikroskopech se bohužel také příliš nevyznám. Pokud bys chtěl dělat mikroskopické snímky, tak by možná bylo užitečné, kdyby ten mikroskop měl vlastní program na počítač, který by dělal mikroskopické snímky, a pak bys ten mikroskop připojoval na USB. Já mám bohužel smůlu, že mám tento program dost nekvalitní na tyto snímky, ale aspoň je používám na měření. V tom ostatním už ti asi neporadím. 

Re: Re: Re: Re: Re: S Honzíkem a s bassetem ... 2.část, 15.03.2016 20:26, Tori(m), (O přírodě)
Ještě doplním k 1.: Některé věci se dají zjistit i z exsikátu, takže pokud mikroskopuješ začerstva, je fajn si (zvlášť u diskomycetů) poznamenat v první řadě ty znaky, které se uschnutím ztratí, tj: velikost a rozložení tukových kapek ve výtrusech (uschnutím se postupně slévají do jedné velké uprostřed), rozměry výtrusů, gelovitý obal výtrusů (např. u ohnivce rakouského vs. šarlatového, nebo ušíčko černé vs. Pseudoplectania lignicola, z exsikátu to je o dost těžší zjistit), rozložení a velikost vakuol v parafýzách (rozlišení Mollisia s.l. vs. Pyrenopeziza), struktura excipula u některých rodů (bochníčky - Pachyella/Adelphella/Psilopezia, uschnutím se zcela zbortí struktura do nerozlišitelného stavu, podle slov S.Glejdury).
Nevím jak u pyrenomycetů, ale u diskomycetů je rozdíl mezi mono- a biseriátním uložením výtrusů často závislý na tom, jestli vřecko je ještě živé nebo ne.
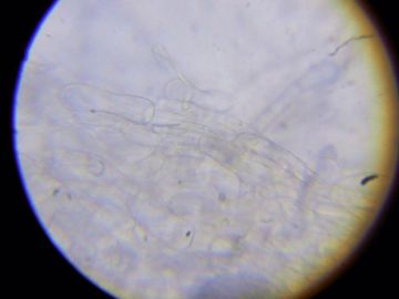
Re: S Honzíkem a s bassetem ... 2.část, 15.03.2016 17:29, alesjirsa(m), (O přírodě)
Ještě doplním výtrusy čepičatky hlízonohé.
Výtrusy elipsoidní, s jednou tukovou kapkou nebo s žádnou, 7,5-8 x 3,5-4,5 µm.

Re: Re: S Honzíkem a s bassetem ... 2.část, 16.03.2016 07:55, Hanýžka(m), (O přírodě)
Ještě doplním doplnění.
Čepičatka hlízonohá má pěkné a dost nápadné cystidy. Žel ty, co jsem dostala, se právě vymražují, takže foto teď nedodám.
Re: Re: Re: S Honzíkem a s bassetem ... 2.část, 16.03.2016 17:22, alesjirsa(m), (O přírodě)
Cystidy jsem také nějaké fotil, z této fotky ale toho asi tolik poznat nepůjde.